К основному контенту
Поиск
Поиск по этому блогу
General Dentistry Practice
Страницы
Главная страница
Обо мне
Эндодонтия
Реставрация
Оптика
DentalПлюшки
Курсы
Подробнее…
Поделиться
Получить ссылку
Facebook
X
Pinterest
Электронная почта
Другие приложения
Ярлыки
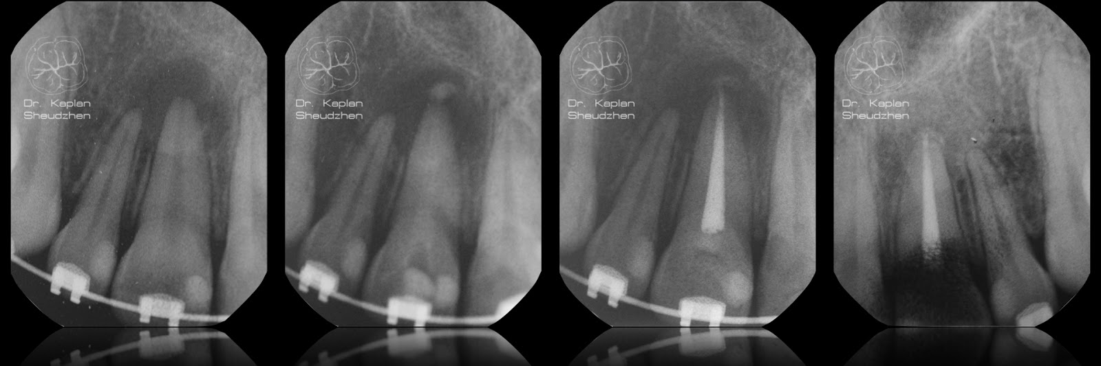
реколл
эндо
эндодонтия
июня 30, 2016
зажило
Комментарии
Популярные сообщения
декабря 11, 2017
Новый свет
мая 26, 2014
ТОРК
Комментарии
Отправить комментарий